治療方法・装置
矯正歯科
大人の矯正
治療方法・装置
治療方法・装置
最もポピュラーな、表側に装着する ▶︎唇側矯正
裏側に装着する、目立ちにくい ▶︎舌側矯正
上顎は裏側、下側は表側 ▶︎ハーフリンガル
補綴などの目的のために限局的に矯正する ▶部分矯正
透明プラスチック素材のマウスピース矯正 ▶マウスピース矯正
唇側矯正
多彩なバリエーション

食べ方に注意
強い負担がかかると脱離や破損しやすい装置です。治療の遅れや、粘膜の傷つきにつながるので、小さく切ってから食べるなどの注意が必要です。
衛生管理のしやすさは、ほどほど
鏡を使えば装置を直視できるので、舌側矯正よりは容易ですが、汚れはたまりやすいので、矯正向きの歯ブラシを使って時間をかけた丁寧な歯磨きが大切になります。定期的なお口のクリーニングもおすすめします。
舌側矯正


目立たない
裏側に装置を装着するので周囲の目も気になりません。
違和感は大きい
裏に装置を付ける為、お口の中が狭くなります。装置になれれば不自由なく会話やお食事できます。
予約制限があり、処置時間も長め
見えにくい部分の治療になるので、毎回の処置に時間がかかります。そのため、平日の午前中のみ予約となります。
工程が煩多
使用装置が特殊なため、ほとんどが外注となります。脱離や破損の際、唇側矯正ではその場で付け直しできますが、舌側矯正では、付け直しまでに数週間を要し、治療の遅れにつながります。またそれに伴う技工料も発生するので、注意が必要です。
治療費が最も高い
高度な技術が求められるため、治療費が最も高い治療法です。装置代、技工料、技術料それぞれが割高になります。
衛生管理が難しい
直視しにくいので、歯磨きも非常に難しいです。ペン型や山切りの歯ブラシを使って、時間をかけた丁寧な歯磨きが大切になります。定期的なお口のクリーニングをおすすめします。
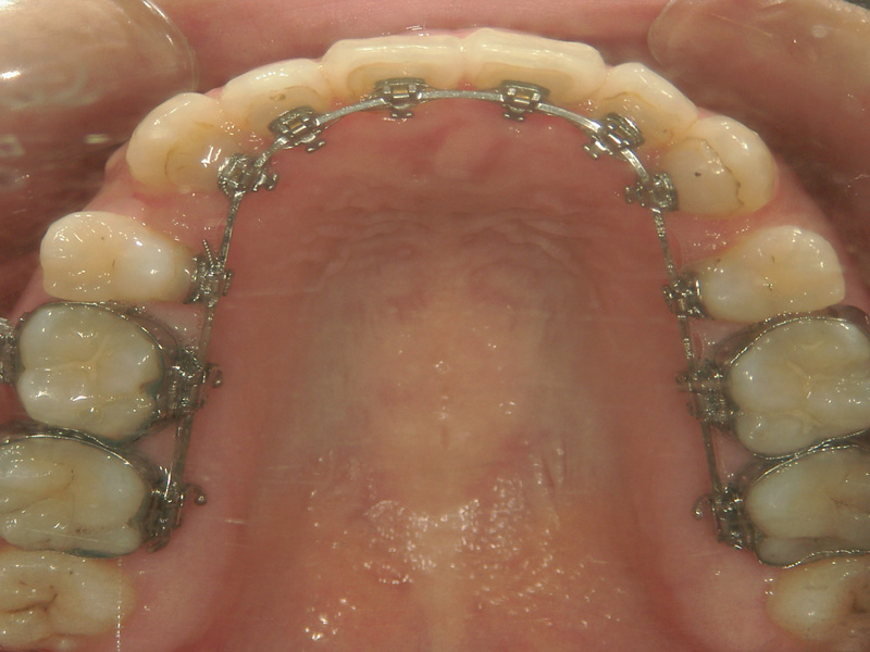
ハーフリンガル(上顎:舌側、下顎:唇側)
見えやすい上顎は裏側、目立ちにくい下顎は表側にブラケットとワイヤー を装着する方法です。
処置時間の短縮、装置の不快感の軽減、衛生管理のしやすさの向上が図れます。治療規則は舌側矯正に則り、平日午前中のみの対応となります。
部分矯正(シニア矯正治療、MTM)
一般的な二次矯正は全ての歯の歯並び、咬み合わせを治しますが、部分治療の場合は、ブリッジや入れ歯などの補綴治療を前提として、その準備のために限局的な矯正治療を行います。
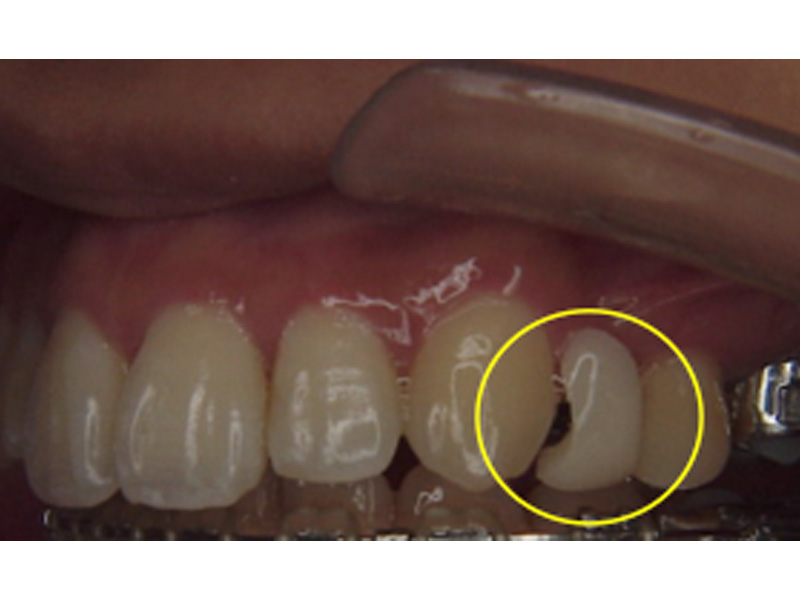
ダミー歯
歯の突出やデコボコの程度が大きい場合、歯を抜いて矯正治療をすることがあります。箇所によっては、その隙間が見た目に気になると感じることがあるかもしれません。
そのような場合、その部分の矯正装置に人工歯を組み込むことができます。飾りなので、咬むのに使うのは厳禁ですが、見た目は十分にカバーされます。唇側・舌側のいずれでも、可能です。




マウスピース矯正

目立たない

快適、清潔
ご自身で着脱できる為、食事、歯磨きは今までと同様にできます。マウスピースは1〜2週間の使い捨てで衛生的です。

3D管理





